Dental Bonding in Oakdale, CA

Dental bonding is a cosmetic dentistry procedure that can help improve your smile. If you want to repair your damaged, chipped, decaying, or discolored teeth for less money than veneers and crowns, you can benefit from dental bonding in Oakdale, CA. It is a quick, safe, and non-invasive treatment that can rebuild the structure of your teeth and restore your brilliant, healthy smile. Read on to learn more about dental bonding.
An Affordable, Same-Day Solution for a Flawless Smile
Dental bonding or tooth bonding can drastically modify the look of your smile by utilizing composite resin to change the size, shape, or color of a broken tooth. Cosmetic bonding is an effective cosmetic dentistry treatment that is completely reversible, unlike other procedures like porcelain veneers. The treatment allows you to maintain your natural tooth by reinforcing the structure. Because the bonding materials are exactly the same color as your natural teeth, people won’t be able to tell that you’ve had dental work done.
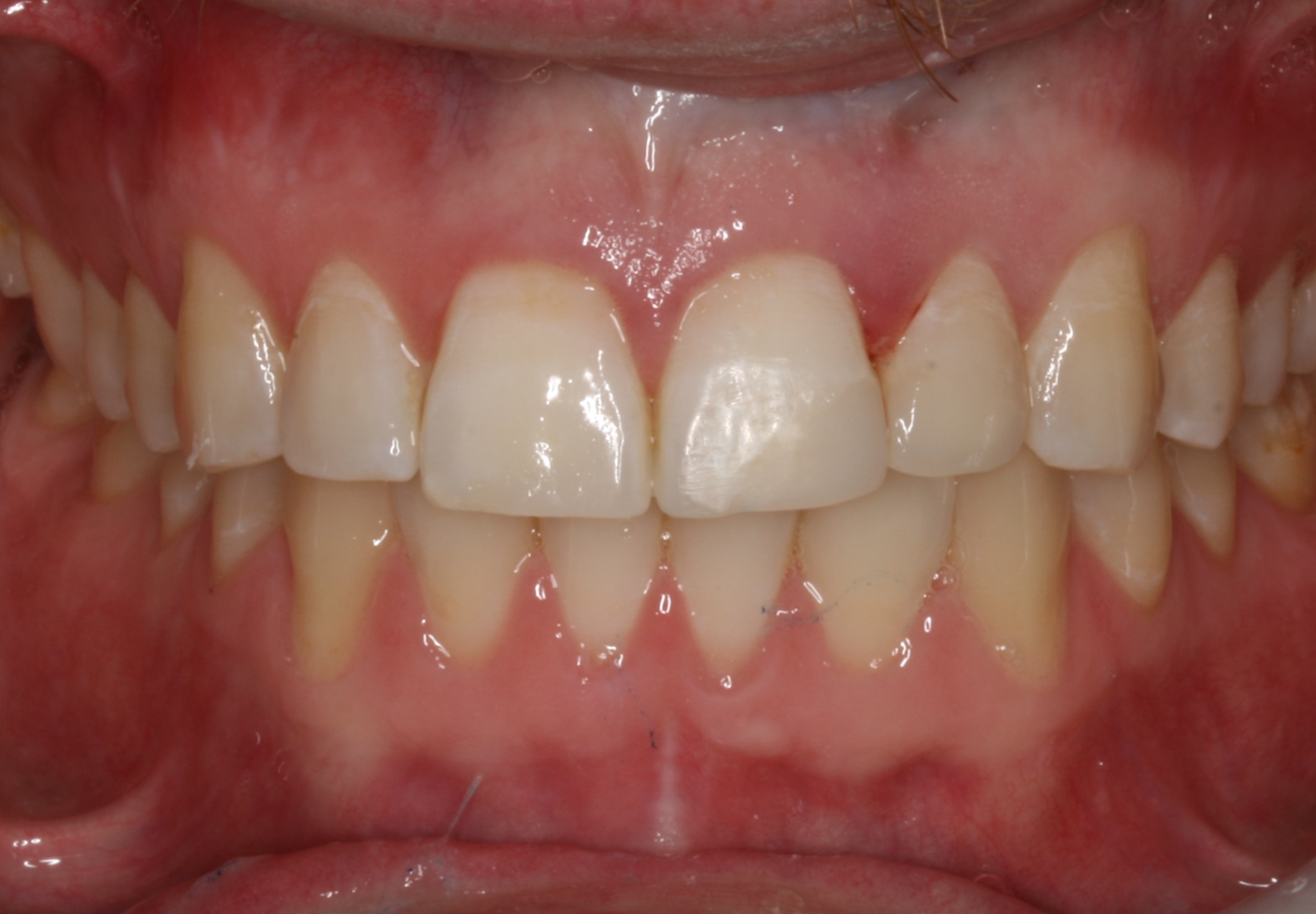
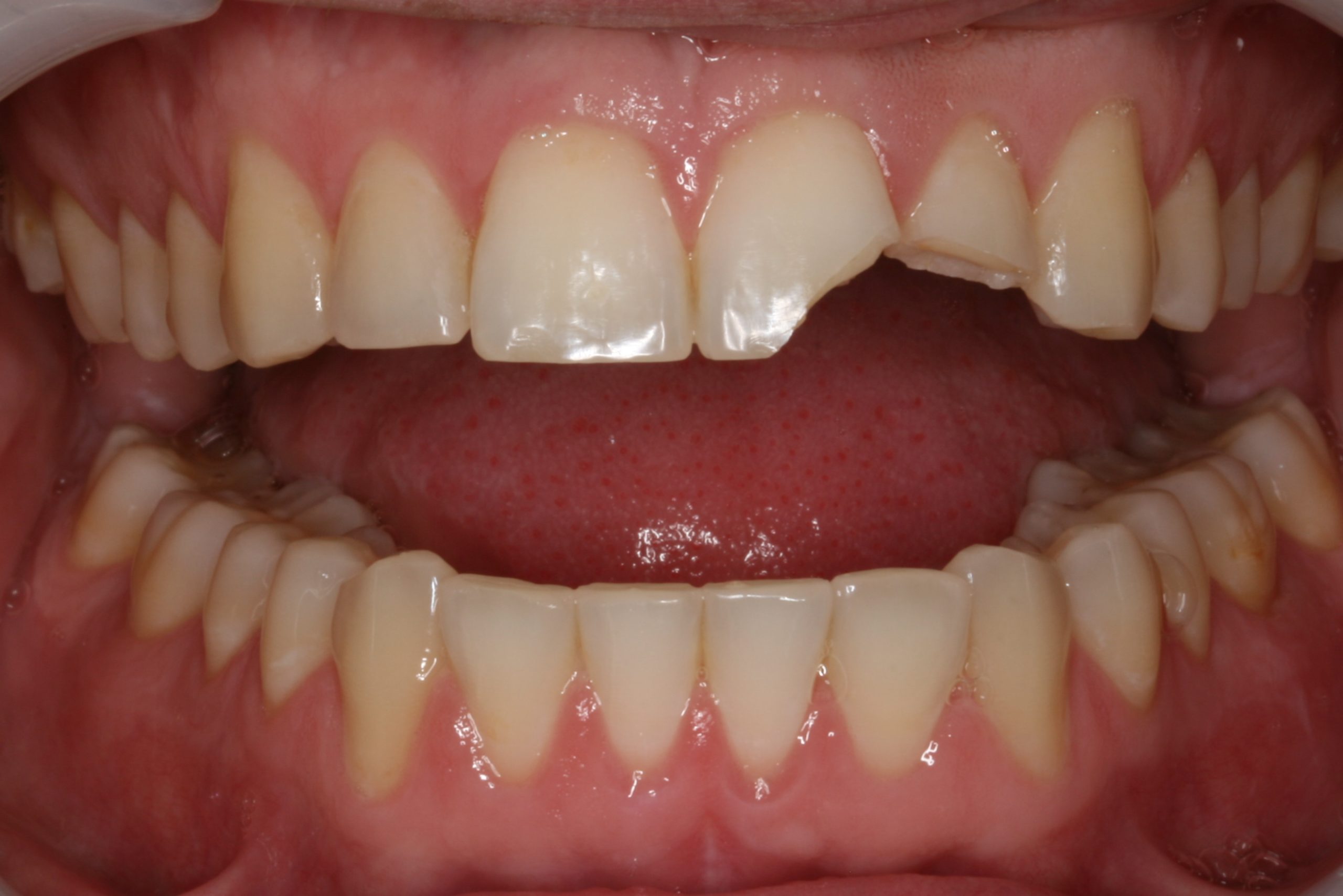
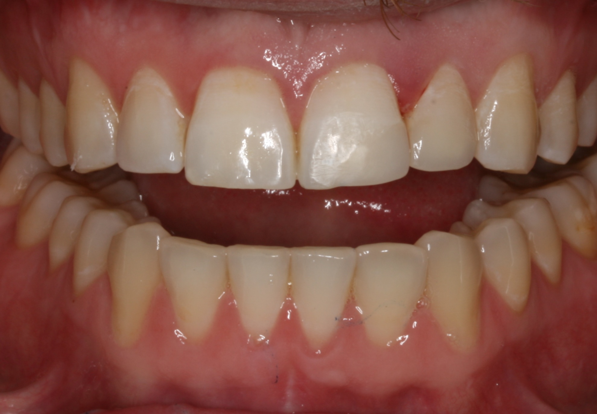
Dental Bonding Before and After Results
Case 1




Case 2 (Invisalign and Dental Bonding)



Benefits of Tooth Bonding
Dental bonding is among the most often used cosmetic dental procedures nowadays. This procedure is painless and does not require anesthesia. If you require any of the following, this cosmetic surgery will be beneficial to you:
- Putting a bandage over any teeth chips or cracks
- Hiding stained teeth
- Filling up the gaps and gaps between teeth
- Making the teeth longer to match other teeth
- Changing how your teeth look
Contact our dental office immediately if you would benefit from a dental bonding procedure. Dr. Blackhart can help you determine whether dental bonding is the best course of action for you. For more serious damage, like decaying and damaged teeth, he might suggest a filling, a veneer, a root canal, or a dental crown.
Dental Bonding Process in Oakdale
To assess whether dental bonding is the best option for your specific condition and desired outcome, Dr. Blackhart will inspect your teeth during the initial appointment. The following is our process for tooth bonding:
- Getting Ready: Your teeth will be cleaned and roughened in preparation for bonding. The bonding material will adhere to your teeth more easily as a result.
- Application of Composite Resin: Dr. Blackhart will mold the composite resin material, which is the same color as your natural teeth, and adhere it to your teeth to hide any chips, cracks, or discolorations. The bond between the composite resin and your tooth will be activated by using a blue curing light to harden it.
- Polishing and Smoothing: The last stage is to polish and smooth the newly bonded teeth so they are as lustrous as your natural ones. Last-minute adjustments could also be made to ensure the greatest results.
Safe and Pain-free Cosmetic Treatment
Dental bonding is one of the best cosmetic dentistry procedures for enhancing your smile and restoring your self-esteem. It is a quick, inexpensive, safe, and painless way to fix dental flaws. If you have teeth that are chipped, discolored, or uneven, Blackhart Dentistry offers dental bonding in Oakdale, CA.
We invite you to give us a call at (209) 847-0309 if you believe this dental service will improve your oral health. Our professional dental team will be pleased to schedule your consultation or respond to any inquiries you may have. We look forward to assisting you in reaching your dental health objectives!