Invisalign Treatment in Oakdale, CA

Do you want a straighter smile but hate the thought of metal braces? Look no farther than Invisalign® clear aligners, the popular alternative to traditional ways of treating teeth misalignment. Blackhart Dentistry offers Invisalign® clear aligner treatment in Oakdale, CA, and we invite you to learn more about this modern orthodontic treatment.
Dr. Blackhart is a member of the AACA (American Academy of Clear Aligners), which provides extra training and exclusive member benefits to provide the best patient experience and clear aligner treatment possible.
Clear Aligners Made for Everyday Life
Instead of metal braces and wires, Invisalign clear aligners use clear plastic trays to gradually straighten teeth with mild pressure. For optimal results, aligners should be changed every one to two weeks and worn for a minimum of 22 hours a day. The average duration of Invisalign treatment is 12 to 18 months, but the precise time frame may differ based on your particular alignment problems.
Because your aligners are clear and fit snugly, they are almost invisible and won’t interfere with your speech or smile. While you go about your daily activities, no one will notice that you are straightening your teeth. Invisalign® clear aligners are also completely removable. You can easily take them off for cleaning, or when you are eating, brushing, or flossing.
At Blackhart Dentistry, Dr. Blackhart will provide specific instructions based on your treatment plan. You may need to visit our dental office periodically to ensure that your therapy is proceeding as planned, however the new Invisalign app allows you to take progress pictures at home and minimize the number of office visits.
What Alignment Issues Can Invisalign® Treat?
An Invisalign treatment can help fix mild to moderate cases of teeth misalignment, like overbite, underbite, gaps between teeth, and crooked teeth. Invisalign is also an excellent option for individuals who have previously worn braces but whose teeth have since returned to their natural position. However, you may need more comprehensive orthodontic treatment, like traditional metal braces or surgical procedures, if you have severe bite issues. Dr. Blackhart will assess your specific problem and give advice on the best treatment so you can make an informed decision.
Aside from your alignment issues, there are other considerations when qualifying a patient for an Invisalign® treatment. You may undergo the treatment only if you are a non-smoker, in good dental health, and willing to wear the clear braces for 22 hours every day.
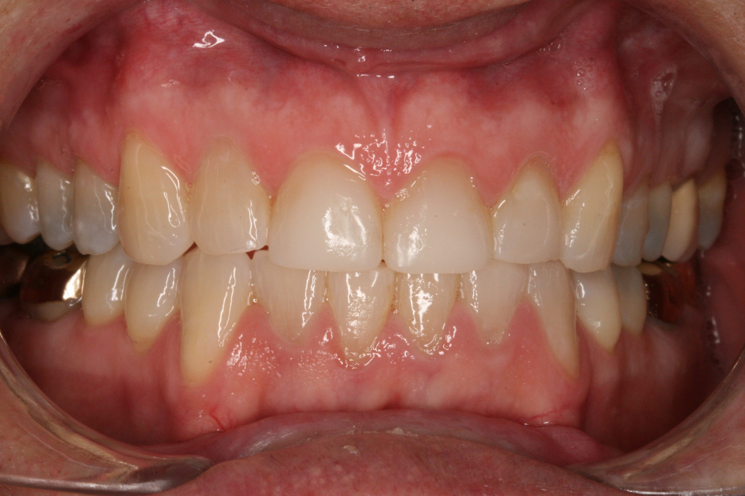
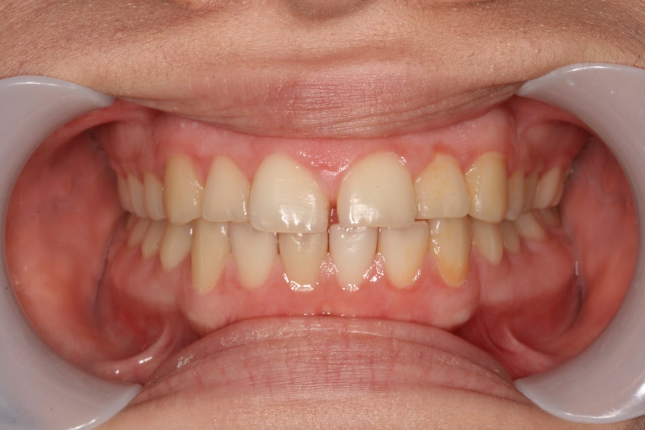
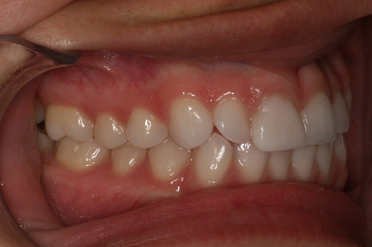
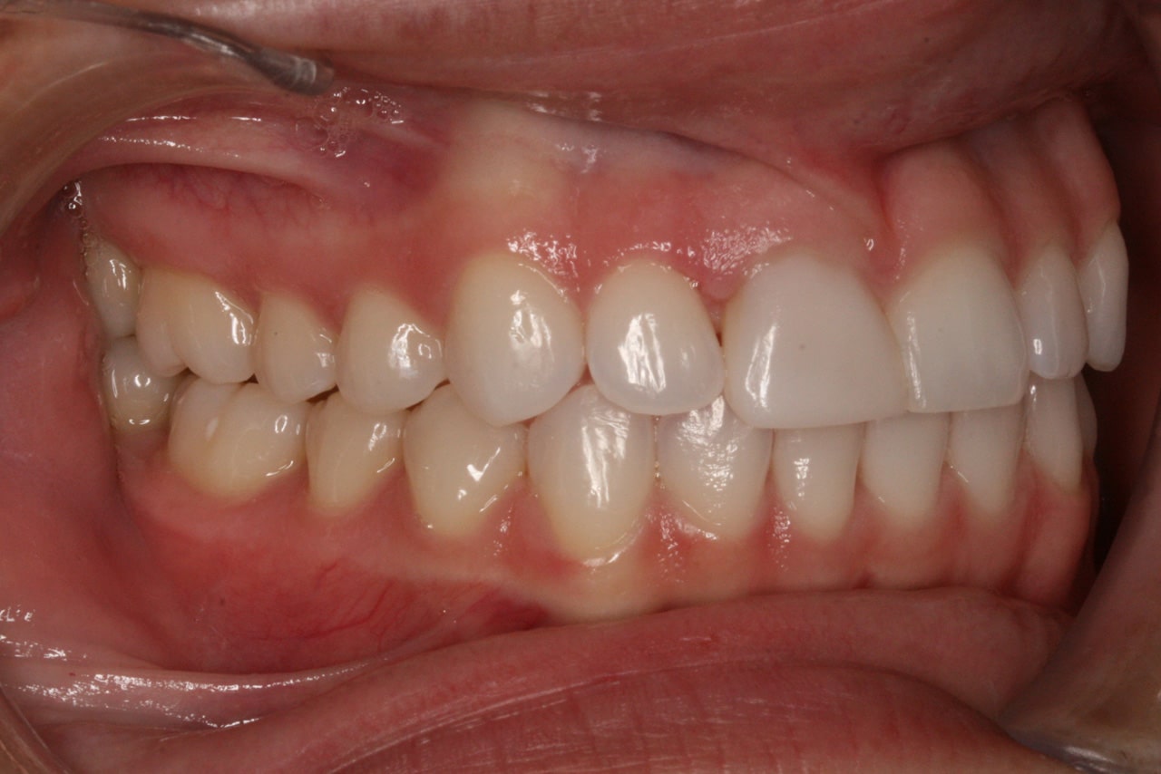
Invisalign Before & After Results
Case 1




Case 2 (Invisalign and Dental Bonding)



Case 3




Case 4





Case 5






Straighter Smile with Invisible Braces in Oakdale
Invisalign® clear aligners offer a comfortable, removable, and virtually invisible way of straightening your teeth. They will also help boost your confidence, self-esteem, and overall appearance. Blackhart Dentistry is your best dental practice for Invisalign® in Oakdale, CA. Our team can help you achieve a straighter, more beautiful smile.
We invite you to give us a call at (209) 847-0309 if you believe this dental service will improve your oral health. Our professional dental team will be pleased to schedule your consultation or respond to any inquiries you may have. We look forward to assisting you in reaching your dental health objectives!